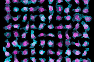
Among these 100 stem cells, no two have the same shape — yet all are clones. This composite was made using images from the recently launched Allen Cell Explorer, an online portal that lets researchers view the 3-D structures of different cell types, gleaned from more than 1.2 million photographs. “Being able to image cells in 3-D, model cells in 3-D and analyze cells in 3-D is really critical to truly, deeply understanding how cells work,” says Graham Johnson, director of the Animated Cell project at the Allen Institute of Cell Science, in a video about the tool.
[This caption originally appeared in print as "Variety Among Clones."]















