This is the sixth of a series of reviews, looking back at a year of science according to topic and theme. This one covers my favourite discoveries about the distant past. They change our views of (and push back the dates of) some of the most important events in prehistory, from the origin of complex life, to the invasion of the land, to the development of human butchery (well, maybe).
10) Norfolk – the home of the earliest known humans in Britain

An unassuming English village called Happisburgh, Norfolk happens to be the site of Britain’s earliest known human settlement. With the village about to fall into the sea, archaeologists uncovered over 70 flint tools from the exposed shore. They suggest that humans lived in this area over 800,000 years ago, some 100,000 years earlier than previously thought. These first Brits had to contend with prowling sabre-toothed cats and hyenas, mammoths and woolly rhinos, a Thames that flowed upwards to Norfolk, and rubbish weather. The last bit, at least, hasn’t changed.
9) Dramatic restructuring of dinosaur feathers revealed by two youngsters of same species

Regular readers of this blog should be familiar with the concept of feathered dinosaurs but two specimens, described earlier this year, put an unusual twist in the tale of dinosaur feathers. The fossils are both youngsters of the same species – Similicaudipteryx – but at different ages and with very different types of feathers. The older one has plumes shaped like quills, while the younger one has feathers that are thin ribbons at their base and quills at their tips. Together, they demonstrate that the feather of some dinosaurs changed dramatically as they grew older, in a way that we don’t see in any modern bird.
8 ) An 60,000-year old artistic movement recorded in ostrich egg shells

Souvenir shops in South Africa are full of lamps made out of ostrich eggs, but these eggs have an artistic history that goes back 60,000 years. Pierre-Jean Texier discovered a set of 270 eggshell fragments from a South African cave, all covered in carvings and symbolic patterns. Much like any other artistic movement, they show standard motifs that were elaborated on in an individual way, and that wax and wane with time. The motifs are evidence that these prehistoric humans were more than capable of symbolic thought, of using patterns to transform ordinary items into specific and unique ones.
7) Human ancestors carved meat with stone tools almost a million years earlier than expected

They’re a set of scratches and dents in animal bones. The scientists who discovered them think they were inflicted by stone tools – if that’s true, it sets the origin of human butchery back to at least 3.4 million years, some 800,000 years earlier than previously thought. At that time, there were no true humans around and the marks were probably inflicted by one of our ancestral species, Australopithecus afarensis. But not everyone is convinced – others contend that the marks were made by the trampling hooves of animals.
6) Nectocaris: mystery fossil was actually a 500-million-year-old squid relative

As makeovers go, this is a pretty dramatic one. Since 1976, a fossil animal called Nectocaris has been billed as an early shrimp relative or a cousin to back-boned animals. But that was based on just one specimen. This year, a staggering collection of 91 new fossils showed that the animal is instead a cephalopod – a relative of squid, octopuses and cuttlefish, complete with two long tentacles, and fins running along its kite-shaped body,
5) 2.1 billion year old “multicellular” fossils

A set of fossils from Gabon may be some of the earliest known examples of complex life on Earth, composed of many cells (like animals and plants) rather than just one (like bacteria). They’re around 2.1 billion years old, which makes them half a billion years older than the previous record-holders. But it’s not clear whether what these fossils really are. They could well be colonies of individual microbes or even collections of inanimate chemicals.

Dinosaurs evolved during the Triassic period from among a broader group called the dinosauromorphs. A new set of tracks from this pioneering group revealed that their descendants rose to power at a leisurely pace. The tracks suggest that dinosauromorphs arose around 250 million years ago, during the earliest part of the Triassic and earlier than previously thought. They were one of the pioneers of life’s great comeback – the aftermath of the great Permian extinction, when life nearly died. However, it would take many millions of years for these pioneers to make their presence truly felt.
3) A possible icy start for life

Popular theories suggest that the origin of life began in the hot, hellish environment of rocky undersea vents. But this year, a British team suggested a cooler backdrop – ice. Ice has the right properties to allow molecules of RNA – a relative and precursor to DNA – to copy themselves, change and evolve. At a microscopic level, ice contains a network of channels and spaces that haven’t frozen completely. Molecules become concentrated in these spaces, speeding up chemical reactions in a way that compensates for the slowing effect of cold temperatures.
2) Fossil tracks push back the invasion of land by 18 million years

A new set of Polish tracks suggest that around 395 million years ago, four-legged amphibious animals (tetrapods) were walking along the coast. These were among the first back-boned animals to invade the land and they were striding around 18 million years earlier than expected. The trackmakers were around before apparently ‘transitional’ animals like Tiktaalik that are often billed as intermediates between fish and walking tetrapods. Rather than being early biological innovators, these species might instead be members of ‘ghost lineages’ that were still using old body plans.
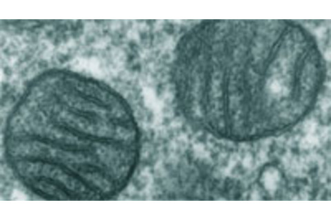
1) The origin of complex life – it was all about energy

We are all natural-born gas-guzzlers. According to Nick Lane and Bill Martin, the origin of complex life – all animals, plants, fungi and more – depended on an ancient partnership between a large cell and a smaller bacterium that it engulfed. This partner gave our ancestors access to around 200,000 times more energy, allowing them to greatly expand their number of active genes. The bacterium’s own set of genes was eventually repurposed to focus on the act of providing a steady and adaptable energy supply – they became mitochondria. With thousands of these tiny batteries in each cell, our ancestors leapt out of a canyon of simplicity in a single bound, producing the greatest period of genetic innovation since the origin of life itself. PS For some reason, the study of human origins does little for me. Hence, you won’t find Neanderthals, hobbits, the Denisovans, or Ardi here. As always, Carl Zimmer, Kate Wong, Brian Switek, John Hawks and others should provide your recommended daily allowance of those stories. And if anyone’s puzzled at the lack of technicolour dinosaurs, I covered that in an earlier list of amazing and unorthodox scientific methods.













