Pareidolia, as regular readers know, is the psychological effect of seeing a pattern in random or semi-random distributions. It generally takes the form of seeing a face, but you only tend to hear about it when someone sees a religious icon. Jesus in a cabinet's wood grain, Mary in an oil slick, Mohammed in a tree, Buddha in a wasp nest.

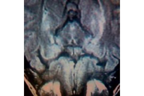
The latest comes from Florida. A woman, Pamela Latrimore, who is evidently quite ill and having trouble making her bill payments, sees Mary in her brain MRI. She's religious, and takes this as a sign to sell the image on eBay. OK, fine. She's ill, and if she takes comfort in this then that's understandable, even if I disagree with her interpretation. Let me be clear here: I understand that people read their own viewpoints and prejudices into pareidolia. Ms. Latrimore is religious and sees the Virgin Mary; I love science fiction and I see Chewbacca (on "Mary's" belly). Latrimore is steeped in a religious viewpoint, and so she sees this through that filter, and again, while I disagree with her it's understandable. However, I am not so forgiving of the media. The online article linked above from NBC5 in West Palm Beach, like every other news venue when they report on this topic, gives this story straight, with no mention at all that this may just be coincidence (which it most certainly is), and present only dismissive lip service to people who disagree with the conclusion that this is a holy image. Worse, they have a video link which says "Click on the video player to the right to watch the story, and decide for yourself." That strikes me as being the antithesis of news reporting; how can a viewer decide anything when the reporting is so one-sided? The more I watch local news "human interest" stories, the more I think they work against the interest of humans. It is not terribly hard to present this story fairly without being cruel -- Latrimore reportedly is, after all, quite ill and deserves sympathy -- but I keep finding that journalists, especially on TV, are becoming so lazy that there is no research at all going on. It's just reporting, stenography, and it's not even complete. Ghosts, pareidolia, psychics... how many times have you seen more than five seconds devoted to the skeptical (that is, reality-based) side of these topics? Ah well. That's the way of things these days, and it just means we have to work harder, get our message out even more, and stay on top of such things.
Note: After drafting this post, I found out my friend and fellow skeptic Steve Novella has written about this event as well.
Tip o' the amygdala to BABlogee Mark Barnes for the link.













